
We are a team of biomedical engineers and clinical specialists based in Kazakhstan.
We partner with clinics, surgeons, and med‑tech startups in the USA, Europe, and Australia to co‑design patient‑specific surgical tools and implants.
Bringing ideas from CT/ultrasound scans to CAD, additive manufacturing & surgery-ready devices.


Anatomy-Based Modeling
3D Modeling
We design patient-specific implants and surgical guides based on medical imaging data.Using Mimics, 3-matic, and Blender, we generate precise 3D models optimized for FDM, SLA, or SLS printing.🟩 Our solutions are tailored for clinics and printing partners requiring surgical-grade accuracy.
Virtual Surgical Planning
From Scan to Simulation
We simulate resections, alignments, and implant placements using CT and ultrasound data.🔁 This improves communication with surgeons and ensures better outcomes in the operating room.🟩 Virtual surgical planning is especially useful for preoperative alignment and precision-driven collaboration.


Collaboration & Documentation
Seamless Surgeon Integration
We coordinate directly with surgeons and clinical staff to ensure the designs fit surgical goals.Every project is delivered with print-ready models, complete guides, and documentation in a fully digital flow.🟩 Designed for smooth integration into clinical workflows.
Print-Ready Engineering
Designs Built for Precision
Each model is adjusted for the target manufacturing method.We ensure structural integrity, wall thickness, and print tolerances for FDM, SLA, and SLS workflows.🟩 Files are delivered ready for printing and sterilization.



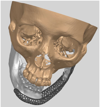
Maxillofacial Restoration
Advanced Reconstruction Cases
From complex bone defects to jaw segment reconstructions, we provide digitally planned solutions for aesthetic and functional restoration using custom-matched implants.🔁 This case demonstrates how large segmental reconstructions are digitally restored prior to surgical planning and fabrication.🟩 We work closely with surgeons to ensure both functional and aesthetic precision.
Biomechanics
Biomechanical Optimization
We apply topology optimization and lattice design to reduce implant weight while maintaining mechanical strength — especially for titanium mesh and hybrid structures.🟩 This service is ideal for complex maxillofacial reconstructions and custom load-bearing implants.


Custom Instruments
Prototyped Surgical Tools
We also design and iterate on custom surgical instruments, drill guides, and anchors based on surgeon requirements.
Rapid prototyping helps validate fit and usability.🟩 Final designs are adapted for metal or polymer fabrication depending on the use case.
Technical Capabilities
From Imaging to Implant
We combine advanced medical imaging and surgical engineering to support full-cycle implant development — from patient scans to print-ready models and documentation.🛠️ Tools & Software
• Medical imaging & segmentation: 3D Slicer, InVesalius, Mimics Medical, Sante DICOMEditor
• CAD & modeling: Exocad, Exoplan, Siemens NX, 3-matic Medical, Blender, Friform Plus
• Output formats: STL, STEP, Parasolid, OBJ, and others🔬 What We Do
• Virtual surgical planning (resections, alignments, implant placement)
• Design of patient-specific implants and surgical guides
• Development of cutting templates, trials, and implant variations
• Print-ready optimization for FDM, SLA, DLP, and SLS printers
• Custom mold design for manual and hybrid fabrication
• Case-specific documentation for each surgical solution

Let’s Work Together. We are looking for Partners & Collaborators